24小时药事资讯
| 封面 | 标题 | 链接 | 发布时间 | 阅读量 | 点赞量 | 更新时间 | 公众号 |
|---|---|---|---|---|---|---|---|
| 【会议调整】高值耗材、IVD集采的痛点及应对在线研讨会 | 查看 | 2022-09-14 20:21:20 | 33 | 0 | 2022-09-14 21:22:23 | 医药云端工作室 | |
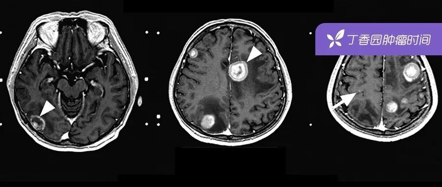
| 肺癌脑转移的 9 大治疗手段,最全总结都在这里! | 查看 | 2022-09-14 20:20:53 | 2799 | 6 | 2022-09-14 21:22:56 | 肿瘤时间 | |
| 全国人大代表提议全面消灭蚊子,国家卫健委答复| 医脉3分钟 | 查看 | 2022-09-14 19:17:33 | 270 | 0 | 2022-09-14 20:18:35 | 医脉通 | |
| 79家药企上榜国家技术创新示范企业,2022拟入选9家 | 查看 | 2022-09-14 18:36:59 | 1120 | 0 | 2022-09-14 19:38:54 | 蒲公英 | |
| 行业动态|博安生物新冠病毒广谱中和抗体BA-CovMab注射液在华获批进入临床,对Omicron等各种变异株展示高效中和能力 | 查看 | 2022-09-14 18:12:19 | 5 | 0 | 2022-09-14 19:13:18 | 药学进展 | |
| 67个中成药集采将开标:百令、血塞通、银杏叶... | 查看 | 2022-09-14 18:01:13 | 202 | 0 | 2022-09-14 19:04:15 | 医药行业EMBA |

发表评论 取消回复